7SA ou semaine 5 de grossesse côté bébé Bébé mesure entre 5 et 16 millimètres (il peut désormais dépasser le centimètre !), et pèse un peu moins d'un gramme Son développement à 5 semaines de grossesse A ce stade, on observe une pulsation cardiaque régulière Son cœur a presque doublé de volume et il bat plus vite que celui 28 semaines de grossesse / 30 SA Alors que vous entrez dans votre 28e semaine de grossesse (soit 30 semaines d'aménorrhée) vous devez penser aux derniers préparatifs avant l'arrivée de bébé Ce n'est pas toujours facile avec la fatigue et votre ventre qui est de plus en plus gros N'hésitez pas à déléguer un peu !A 5 semaines de grossesse, soit / 7 semaine d'aménorrhée, il est possible de ne pas encore voir d'activité cardiaque Elle devrait apparaître d'un jour à l'autre

Semaines D Amenorrhee Et Mois De Grossesse Definition Docteurclic Com
Bebe a 4 semaines d'aménorrhée
Bebe a 4 semaines d'aménorrhée-3 ème semaine de grossesse les symptômes à surveiller Durant les 5 premières semaines d'aménorrhée, les symptômes de grossesse peuvent encore tarder à venir En effet, la plupart des symptômes précoces de la grossesse sont causés par les hormones de la grossesse, d'autant plus que le corps n'a pas encore entrepris sa grande révolutionSemaine d'aménorrhée (SA) 14 À la SA 14, le fœtus a environ 12 semaines La différence par rapport aux semaines de grossesse est due à la manière de la calculer, et qu'on commence à compter à partir du premier jour des dernières règles L'ovulation, et donc la fécondation, se produit environ 14 jours plus tard de Ina Ilmer




Grossesse
Vous trouverez cidessous la taille et le poids de l'embryon et du foetus au cours de la grossesse, du jour de la fécondation à celui du terme NB Ces données sont indicatives, chaque enfant se développant à son propre rythme, pas d'affolement si votre bébé ne "correspond" pas à ces mesures moyennes (dite du 50ème percentile) Grossesse de 15 semaines d aménorrhée Salut à toutes, voila je suis enceinte de 4 semaines aménorrhées mais aussi fumeuse J'ai appris ma grossesse leVotre bébé à 33 semaines de grossesse (35 SA) Au cours de cette 35 ème semaine d'aménorrhée, bébé continue tranquillement sa croissance Sa taille et son poids augmentent Si ce n'est pas encore fait, il va changer de position et mettre la tête en bas Il pourra bouger et se retourner tant que la quantité de liquide amniotique
2 semaines de grossesse pour bébé À la deuxième semaine de grossesse (4 ème semaines d'aménorrhée), un minuscule être humain s'épanouit dans le ventre de sa maman Né à partir de la celluleœuf qui s'est formée heures après la fécondation, ce futur embryon comporte déjà tous les gènes du futur adulte Les filles svp , dites moi quel poids faisait vos bébés aux alentour s de la 32 33 semaine aménorrhée je viens de faire mon eco j suis à peine à 2 semaine et appartement il va être obèse ça m'inquiète 😏À 32 semaines de grossesse (34 semaines d'aménorrhée), vous comptez les joursIl n'en reste en effet plus beaucoup avant la naissance de bébé En fait, bébé peut même arriver d'un jour à l'autre A ce stade, il serait encore prématuré, mais hors de dangerEn attendant, votre petit procède aux derniers ajustements, tandis que tout votre corps se prépare pour répondre aux exigences
23 semaines de grossesse / 25 SA A 23 semaines de grossesse, soit 25 SA (semaines d'aménorrhée), vous débutez le sixième mois de grossesse et sentez que votre bébé est de plus en plus actif Vous devez aussi faire face à quelques petits désagréments et penser aux derniers préparatifs !(30ème semaine d'aménorrhée) Il est sensible à vos caresses Le bébé mesure 35 cm et pèse 1,4 kg Il s'est peutêtre déjà retourné, pour être prêt à sortir Ce n'est pas forcément très confortable pour la future maman que vous êtes, car il donne des coups de pieds dans votre cage thoraciqueLes 4 premières semaines de grossesse (6 semaines d'aménorrhée) Ca y est l'ovule et le spermatozoïde se sont rencontrés et la fécondation a eu lieu Une étape suivie par la segmentation et la nidation, après lesquelles l'œuf prendra l'apparence d'un disque constitué de deux feuillets, puis de trois feuillets




La 34eme Semaine De Grossesse Drolesdemums Com




4 Semaines De Grossesse 6 Sa La Grossesse Semaine Par Semaine
Vous avez cherché ceci EnzaAccessories !Le bébé à la SA À la semaine d'aménorrhée, le bébé mesure environ 25 centimètres des pieds à la tête et pèse environ 300 grammes À ce stade de la grossesse, le petit n'est plus recroquevillé dans le ventre maternel il a étiré les extrémités, il s'assoit avec les jambes croisées et de temps en temps il fait une pirouetteLa maman à 9 semaines de grossesse (11 SA) Enceinte de 9 semaines de grossesse, votre ventre grossit Désormais il est de plus en plus difficile de cacher votre grossesse Votre utérus est aussi gros qu'un pamplemousse L'entrée dans le 3 ème mois marque également une prise de poids Vous êtes dans votre 3ème mois de grossesse




Anatomie Echographique D Une Grossesse De 7 Sa Et 4 Jours




16eme Semaines De Grossesse 18 Sa Magicmaman Com
La prématurité du bébé est dite moyenne lorsque la naissance a lieu entre la 32e et la 36e semaine d'aménorrhée révolue (7 à 8 mois de grossesse) En dessous de 35 semaines, le bébé doit être transféré avec sa maman dans une maternité de type II comportant une unité de néonatalogie, ou directement dans une unité de néonatalogieLe fœtus mesure entre 4 et 5 centimètres, et pèse jusqu'à 9 grammes Sa tête est la partie de son corps la plus proéminente, et il a indubitablement acquis une forme humaine Les mystères de la génétique ont déterminé le sexe de votre bébé, mais il vous faudra encore patienter quelques semaines pour le découvrir 23ème semaine de grossesse (25 SA) A partir de la 23ème semaine de grossesse (25ème semaine d'aménorrhée), pour certaines femmes enceintes, le poids de bébé commence à perturber votre système digestif Mesurant 28 centimètres et pesant près de 700 grammes, bébé est également désormais mieux doté en cellules nerveuses et




4eme Semaine De Grossesse Drolesdemums Com




14 Semaines De Grossesse Pampers
À 5 semaines d'aménorrhée, tu en es à ta troisième semaine de grossesse Sur l'échographie, tu pourras voir un embryon de la forme d'une virgule Il te semble minuscule ? 4ème semaine de grossesse ou 6 semaines d'aménorrhée, a quatre semaines de grossesse, les signes se font plus présents Côté bébé, l'heure est à la formation des organesPoids bébé 31 semaines d'aménorrhée J'espère que vous allez pouvoir me rassurer Aujourd'hui j'avais mon rdv chez le gynécologue, je suis enceinte de 31 semaine et 4 jours et bébé pèse environ 1kg300g Il me dit que bébé est petit pour son âge, il faut que je me repose et je mange bien



Developpement De L Embryon Et Du Foetus 1er Trimestre




Grossesse L Evolution De Votre Bebe Semaine Par Semaine Femme Actuelle
Dans les 9 semaines d'aménorrhée, il est possible de prévoir un test prénatal pour déterminer le risque de problèmes chromosomiques ou génétiques sur le bébé En l'absence de dépistage du porteur génétique avant la grossesse, il est préférable d'effectuer un test des troubles chromosomiques tels que le syndrome de Down Vous êtes désormais à votre huitième mois de grossesse A 31 semaine de grossesse (33 SA ou semaines d'aménorrhée), c'est de plus en plus difficile pour vous de bouger N'hésitez pas à demander de l'aide Pensez également aux derniers préparatifsÀ la semaine d'aménorrhée 29, la mère et le bébé sont encore à onze semaines environ de l'accouchement Cependant, presque aucun bébé ne naît à la date exacte qui a été prévue Certains bébés sont pas mal en avance et ce n'est ni grave ni inquiétant un bébé n'est plus considéré comme prématuré à la fin de la




17 Sa 15eme Semaine De Grossesse




Premature 35 Sa Ooreka
4 semaines de grossesse, 6 semaines d'aménorrhée La future maman est enceinte de 4 semaines le petit embryon fête donc son premier mois d'existence Il ne reste que 8 mois qui verront le lien se développer jusqu'à la naissance de bébé Malgré sa petite taille, on voit bien que l'ébauche de son cœur commence déjà à battreÀ présent, il flotte dans la cavité amniotique et Il mesure désormais 1,5 cm pour 4 grammes Son corps est toujours en position repliée et on peut maintenant, grâce à une échographie, apercevoir ses membres ainsi que certains de ses organes Lors de la 8ème semaine d'aménorrhée, le système nerveux du bébé communique avec les muscles des membres en développement




1er Mois De Grossesse Sos Bebe




4e Mois De Grossesse Enceinte De 4 Mois Tout Baigne
Douleurs au ventre A 4 semaines de grossesse, il est fréquent de ressentir des crampes abdominales L'implantation de l'embryon dans l'utérus, les bouleversements hormonaux, tout cela peut provoquer des douleurs au ventre qui inquiètent les futures mamansComment se porte bébé ?Développement et comportement du bébé à 32 semaines de grossesse (34 SA) Durant cette 34 ème semaine d'aménorrhée, le surfactant continue de se développer Les poumons arrivent à leur maturation




1 4 Semaines D Amenorrhee Le Debut De La Grossesse




Pourquoi Les Chances De Survie Des Grands Prematures Se Sont Elles Ameliorees Le Temps
Jusqu'à 15 – 16 semaines d'aménorrhée (Je sais pas si tu as vu mais depuis le début j'écris « SA » ben ça veut dire semaine d'aménorrhée mais c'est plus simple SA), tous les bébés (et donc tout sexes confondus) ont un « zizi » (qui au final n'en est pas vraiment un), c'est le fameux tubercule génital ou leDu haut de ses 4 millimètres, il a pris du poids ce dernier a été multiplié par 10 000 depuis le début, un record qui le rapproche pourtant très lentement de sa taille finale, entre 45 et 50 centimètres au terme de votre grossesse !Découvrez les articles uniques créés par EnzaAccessories Chez Etsy, nous sommes particulièrement fiers de notre communauté internationale de vendeurs Chacun d'entre eux contribue à une place de marché internationale rassemblant des objets créatifs En soutenant EnzaAccessories, vous aidez une petite entreprise




Semaines D Amenorrhee Et Mois De Grossesse Definition Docteurclic Com




La 30eme Semaine De Grossesse Drolesdemums Com
Le point sur ce qui s'y passe, côté bébé et côté future mamanUn mois d'existence et bébé a déjà parcouru un vrai marathon !Votre bébé à 4 semaines de grossesse (6 SA) Votre bébé est encore à l'état d' embryon Pendant cette 6 e semaine d'aménorrhée, ses organes se développent et il continue de grossir Pour la 4 e semaine de grossesse, on ne parle pas encore de fœtus, il faudra attendre le




2 Semaines De Grossesse 4 Semaines D Amenorrhee Mon Gyneco Et Moi




4 Sa 2 Semaines De Grossesse
Semaine 4 de grossesse 6 SA La 4e semaine de grossesse correspond à 6 semaines d'aménorrhée (SA) Ce premier trimestre est primordial pour le développement embryonnaire On sait que l'on est enceinte, mais pour l'instant personne ne le voit !Le bébé à la SA 15 À la semaine 15 d'aménorrhée, le fœtus mesure environ huit centimètres et pèse environ 50 grammes À partir de maintenant, la longueur céphalocaudale n'est plus décisive pour déterminer la taille du bébé, et le médecin commencera à calculer ce qu'on appelle le diamètre bipariétal (DBP) c'estàdire la mesure entre les deux os pariétaux du Semaine 12 de grossesse 14 SA La 12e semaine de grossesse correspond à 14 semaines d'aménorrhée (SA) On entre dans le deuxième trimestre qui devrait être plus tranquille Ouf !




4eme Semaine De Grossesse 6 Sa Nestle Bebe



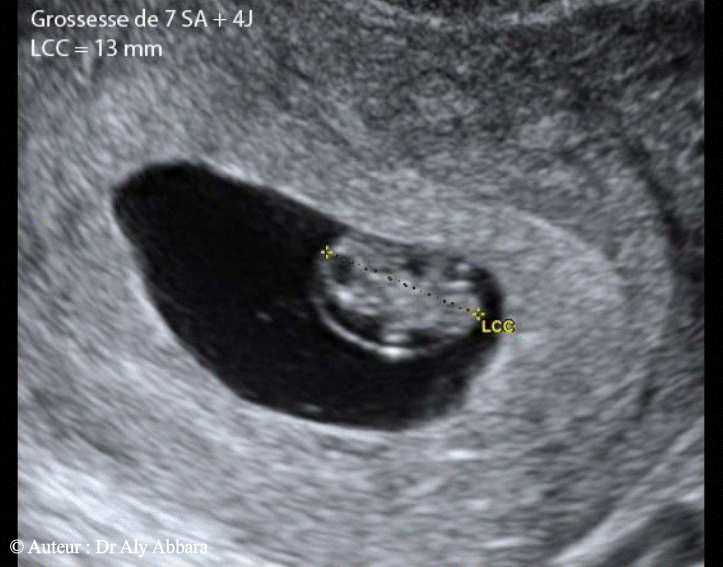
Echo A 7 Semaines Et 4 Jours D Amenorrhee Bidiblog
Semaine d'aménorrhée (SA) 28 Voici maintenant la phase finale de la maturation des poumons et d'activation du système immunitaire Le second trimestre arrive à sa fin et avec lui, c'est une autre grande avancée dans le développement du bébé le système immunitaire commence à Semaine d'aménorrhée en mois de grossesse Une grossesse normale (à partir du jour de fécondation) dure 9 mois, soit 39 semaines de grossesseConcrètement, 39 semaines de grossesse correspondent à 41 semaines d'aménorrhéeVoici un tableau des correspondances mois par mois entre les semaines de grossesse et les semaines d'aménorrhéeLe 30 juillet t avais 4 semaines 4jrs d aménorrhée ce qui correspond à 2 semaines 4jrs de grossesseLa grossesse se compte en général en semaines et pr avoir le nombre de semaines de grossesse tu calcules le nombre de jours à partir de ta date de dernière règle et tu fais




5 Semaines De Grossesse 7eme Semaine D Amenorrhee




La 9eme Semaine De Grossesse Drolesdemums Com
4 semaines d'aménorrhée et douleurs bas ventre Douleurs au ventre A 4 semaines de grossesse, il est fréquent de ressentir des crampes abdominales L'implantation de l'embryon dans l'utérus, les bouleversements hormonaux, tout cela peut provoquer des douleurs au ventre qui inquiètent les futures mamansMouvements du bébé 4 à 100 / heure;Pour tout savoir sur la conception, votre grossesse semaine après semaine, le développement de bébé mois par mois et des idées de prénoms 2 semaines de grossesse / 4 semaines d'aménorrhée Guide Maman Bébé




A Combien De Semaines Le Coeur De L Embryon Bat Il Sciences Et Avenir




2 Semaines De Grossesse 4 Semaines D Amenorrhee Lorraine Evoluence
Semaine 10 de grossesse 12 SA La 10ème semaine de grossesse correspond à 12 semaines d'aménorrhée (SA) A ce stade, il est encore difficile de déceler une grossesse chez les femmes qui attendent leur premier enfant (dites "primipares") Pour lesSache qu'à ce stade, il double de volume chaque jour Bien fixé à ta paroi utérine, ton hôte privilégié pendant 9 mois commence tout doucement à se




36 Semaines De Grossesse 38 Sa




5 Semaines D Amenorrhee 3 Jours L Histoire De La Plus Belle Aventure Qui



Suivi De Grossesse La Qualite De La Surveillance De La Grossesse Est Importante Pour Permettre Un Depistage Precoce Des Grossesses A Risque La Grossesse N Est Pas Une Maladie On Estime Que 95 Des Grossesses Sont A Bas Risque De Maladies




Accouchement Premature 31 Sa Mamantestavis Blog De Maman



36 Semaines D Amenorrhee Rea Com Pl




4 Semaines De Grossesse 6 Sa Tout Ce Qu Il Faut Savoir Mamans Pratiques




4 Semaines De Grossesse 6 Semaines D Amenorrhee Un Mois Deja Guide Maman Bebe




Les Risques D Un Accouchement Premature En Fonction Du Terme Magicmaman Com




2eme Semaine De Grossesse 4 Sa Doctissimo




Bebe In Utero Semaine 4 6 Sa La Boite Rose




17 Semaines De Grossesse 19 Sa La Grossesse Semaine Par Semaine




Blog De Fairy Toy Page 4 Bebes Skyrock Com



2 Ma 1ere Echo A 4 Semaines De Grossesse 6 Semaines Amenorrhees Bebe Story




Developpement Du Foetus 2e Trimestre



Grossesse Et Maternite Pro Bebe Sa Sg Qu Est Ce Que Ca Veut Dire Sa Signifie Semaine D Amenorrhee C Est A Dire Le Nombre De Semaines Depuis Les Dernieres Regles C Est Sg Signifie




18 Semaines De Grossesse Sa




12e Semaine De Grossesse 12 Semaines De Grossesse 14 Sa Parents Fr




4 Semaines De Grossesse Soit 6 Semaines D Amenorrhee Blog Photo




12eme Semaine De Grossesse




Grossesse




Mois De Grossesse Et Semaines D Amenorrhee Comment Calculer




19eme Semaine De Grossesse Une Semaine Tendue




6 Sa 4eme Semaine De Grossesse



Votre Grossesse Mois Par Mois Docteur Nathalie Jugnet Lacoste




Grossesse A 11 Semaines 13 Sa La Grossesse Semaine Par Semaine



Votre Grossesse Mois Par Mois Docteur Nathalie Jugnet Lacoste




Suivez De Pres L Evolution De Votre Bebe Babymovie




Grossesse 4eme Semaine D Amenorrhee Symptomes Traitement Definition Docteurclic Com




Epingle Sur Tout




Anatomie Echographique D Une Grossesse De 6 Sa



1




11 Semaine De Grossesse 13 Sa De Grossesse 11eme Semaine Parents Fr




37 Semaines De Grossesse 39 Sa La Grossesse Semaine Par Semaine




Semaine D Amenorrhee Semaine De Grossesse Quelle Difference



1



Echographie




La Grossesse Mois Apres Mois Mpedia Fr




Embryon A 5 Semaines D Amenorrhee Youtube




Quand Commence T On A Sentir Bebe Bouger




4eme Semaine De Grossesse




8 Semaines De Grossesse 10 Sa Magicmaman Com




4 Semaine De Grossesse Ou 6 Semaine D Amenorrhee Blog De Laventuredebb2




2eme Semaine De Grossesse 4 Sa Doctissimo




Quand Est Ce Qu Un Bebe N Est Plus Considere Comme Premature




5 Semaine De Grossesse 7 Sa De Grossesse 5eme Semaine Parents Fr




Bebe In Utero Semaine 4 6 Sa La Boite Rose




Semaines D Amenorrhee Et De Grossesse Quelle Est La Difference Neufmois Fr




32 Sa 32eme Semaine D Amenorrhee Doctissimo




6eme Semaine De Grossesse Malaises Et Petit Bidon



Grossesse Blog 4 Semaines De Grossesse Combien En Amenorrhee




3eme Mois De Grossesse Sos Bebe



Votre Grossesse Semaine Par Semaine 8 Semaines De Grossesse Bebes Et Mamans




Mon Bebe Est Ne Premature



La Prematurite Meme Legere A Des Consequences Sur La Sante Le Point




La 37eme Semaine De Grossesse Drolesdemums Com




La 11eme Semaine De Grossesse Drolesdemums Com




35 Semaines De Grossesse 37 Sa La Grossesse Semaine Par Semaine




Echographies De Grossesse L Evolution Du Fœtus Semaine Par Semaine




Ce Petit Bebe Est Ne Au Bout De 27 Semaines De Grossesse Seulement 4 Ans Plus Tard Voila A Quoi Il Ressemble




Declencher Le Travail A 37 Semaine De Grossesse La Garantie D Un Bebe En Bonne Sante Magicmaman Com



Votre Grossesse Mois Par Mois Docteur Nathalie Jugnet Lacoste



1




Sexe De Bebe Decryptez Votre Echographie Magicmaman Com



Votre Grossesse Mois Par Mois Docteur Nathalie Jugnet Lacoste




4 Semaines De Grossesse 6eme Semaine D Amenorrhee




L Embryon Et Le Foetus Son Developpement Au Fil Des Mois




1 4 Semaines D Amenorrhee Le Debut De La Grossesse




5 Sa 5e Semaine D Amenorrhee Doctissimo




4 Semaines De Grossesse 6 Sa



Votre Grossesse Mois Par Mois Docteur Nathalie Jugnet Lacoste




Un Bebe Premature Ne A 24 Semaines Pesant 4 Grammes Survit Terrafemina




Grossesse Prematuree A 36 Sa Ooreka




2e Semaine De Grossesse 2 Semaines De Grossesse 4 Sa Parents Fr




Developpement Du Fœtus 33 Semaines De Grossesse Babycenter Canada




4 Semaines De Grossesse 6 Sa




Calendrier De Grossesse Semaine Apres Semaine




4eme Semaine De Grossesse 6 Sa Doctissimo




4 Semaines De Grossesse Symptomes Et Conseils Pampers




Grossesse 6eme Semaine D Amenorrhee Symptomes Traitement Definition Docteurclic Com




38 Semaines Accouchement Sans Risque
0 件のコメント:
コメントを投稿